Health Library Explorer
A B C D E F G H I J K L M N O P Q R S T U V W X Y Z A-Z Listings Contact Us
A B C D E F G H I J K L M N O P Q R S T U V W X Y Z
Click a letter to see a list of conditions beginning with that letter.
Click 'Topic Index' to return to the index for the current topic.
Click 'Library Index' to return to the listing of all topics.

Bone X-ray

A bone X-ray is a way to take pictures of bones. It may also be called bone radiography. In this test, a low dose of radiation is passed through the body, producing digital images of the bones or images on a piece of film.

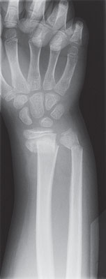
X-ray of an arm and hand showing a broken wrist
X-ray of a broken wrist

Why might I need a bone X-ray?

X-rays of bones may be taken to:

  • Find breaks or chips (fractures) in the bones.

  • Make sure that a fracture has been correctly set for healing, or make sure that a fracture has healed correctly.

  • Plan surgery on the spine and joints, or check the results of this surgery.

  • Guide surgery, such as a spinal repair or fusion, joint replacement, and fracture reduction.

  • Find foreign objects in soft tissues around or in the bones.

  • Keep track of the progress of arthritis and other bone or joint diseases.

  • Find and diagnose bone cancer.

How do I get ready for a bone X-ray?

  • You may be asked to change into a hospital gown (depending on the area of your body being examined).

  • Tell the technologist if there is any chance that you are pregnant.

  • Remove hair clips, jewelry, dentures, and other metal items that could show up on the X-ray.

What happens during a bone X-ray?

You will lie, sit, or stand so that the part of your body being examined is underneath the X-ray equipment. The technologist will position you.

  • Certain parts of your body, such as your reproductive organs, may be shielded to protect them from radiation.

  • You will need to remain still while the X-rays are being taken. Pillows and foam pads may be used to help you stay in position.

  • You may be asked to hold your breath for a few seconds at a time.

  • You may need to hold several positions so that more than 1 view may be taken.

What are the risks of a bone X-ray?

Your health care provider can discuss the risks of X-rays with you. In most cases, the benefits of bone X-ray far outweigh the risks.

What happens after a bone X-ray?

The whole procedure usually takes less than 15 minutes.

  • You'll be asked to wait until the technologist has looked at the images to see if more need to be done.

  • A health care provider called a radiologist will look at the X-ray results and send a report to your provider.

  • Your health care provider will discuss the results with you when the images are ready.

Online Medical Reviewer: Mahammad Juber MD
Online Medical Reviewer: Marianne Fraser MSN RN
Online Medical Reviewer: Raymond Turley Jr PA-C
Date Last Reviewed: 1/1/2025
© 2000-2026 The StayWell Company, LLC. All rights reserved. This information is not intended as a substitute for professional medical care. Always follow your healthcare professional's instructions.
About StayWell
  • More information
  • (740) 356-5000